Kieferorthopäde in Gronau & Vreden
Praxis Gronau
02562 / 965350
Praxis Vreden
02564 / 3969350
Notdienst für unsere Patienten: 0163 / 718 07 86
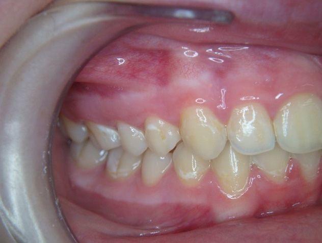
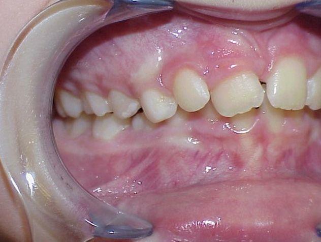
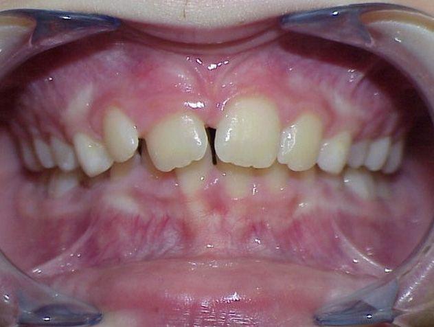
Vorher – Schiefstand und Lücken im Oberkiefer, sowie Drehstand im Oberkiefer.
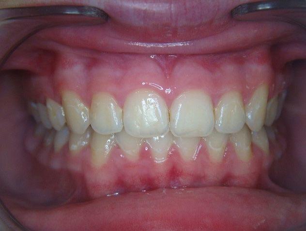
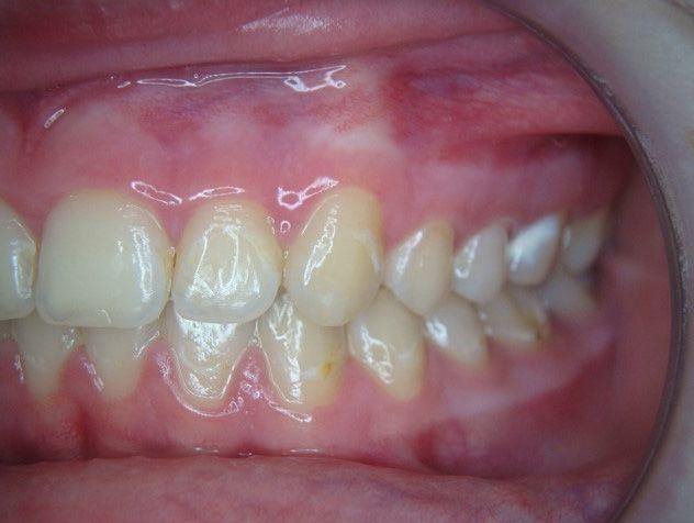
Nachher – Klasse I Verzahnung