Notdienst für unsere Patienten: 0163 / 718 07 86
Praxis Gronau02562 965350
Praxis Vreden02564 3969350
Ihre zuverlässige Adresse für KieferorthopädieUnsere Behandlungen
Ihre zuverlässige Adresse für Kieferorthopädie
Behandlung mit Korrekturschienen Orthocaps® und Invisalign®
Behandlung mit Korrekturschienen
Bracketsysteme in Gronau und VredenSelbstlegierende Bracketsysteme
Bracketsysteme in Gronau und Vreden
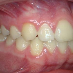
Vorher – Engstand im Ober- und Unterkiefer, sowie Zungenfehlfunktion
Nachher – Klasse I Verzahnung
Kieferorthopäde in Gronau & Vreden